![图片[1]-杭州黑马登顶全球第一,引爆千亿医疗市场!14亿人把「三甲医生」塞进微信群-AI Express News](https://www.aiexpress.news/wp-content/uploads/2026/03/20260302004605842-1772383565-7d60b0cdd7f890dc26835fab47862455.jpeg)
新智元报道
【新智元导读】微信搜一搜,免费AI家庭医生上线!智诊科技连更4天,把顶尖医疗大模型塞进好伴AI微信小程序,无需下载注册,子女就可以在群里随时监护父母健康。2026年,14亿人的健康意识已经觉醒了。
截至2月25日收盘,AI医疗板块延续了年初以来的强劲态势。Choice数据显示,中证医药及医疗器械创新指数当日上涨0.71%,显著跑赢大盘。
这一涨势并非偶然。进入2026年仅一个多月,AI医疗指数累计涨幅已超过11%,其中不乏翻倍牛股的诞生。
这背后是多重逻辑的共振。
一方面,根据弗若斯特沙利文的最新预测,中国AI医疗市场规模正以惊人的43.1%的年复合增长率狂飙,预计将从2023年的88亿元跃升至2033年的3157亿元。
另一方面,随着DeepSeek-R1等开源模型的推出,医疗AI的开发门槛被大幅降低,行业龙头纷纷加速布局,驱动了产业从「概念」向「业绩」的切换。
在这波商业化的春天里,在杭州,就有一家专注于将人工智能扎根于医疗健康产业的企业。
智诊科技,将这场资本市场的热浪转化为实实在在的「生产力」。
他们没有沉迷于炫技,而是专注于一件事:让AI真正走进普通人的生活,成为「用得上、用得起、用得明白」的健康助手。
接下来,就让我们详细领略一下智诊科技的4天发布会内容,感受一下这款AI将如何变革我们的智能健康医学新时代。
简短目录如下——
Day 1:Wise MemOS先给AI⼀副「记性」—— 能跨时间记住一个人和一个家庭的健康轨迹。
Day 2:WiseDiag V2再给AI一双「眼睛」—— 能同时看懂文字、影像、检验单、皮肤照片。
Day 3:WiseResearch再给AI一套「手脚和⼯作流」—— 像医生一样会追问、会查文献、会串证据。
Day 4:最后是好伴AI&能力开放,把一整套能力打造成好伴AI小程序,装进每个人的手机,并以开放平台的方式服务医院和行业伙伴。
![图片[2]-杭州黑马登顶全球第一,引爆千亿医疗市场!14亿人把「三甲医生」塞进微信群-AI Express News](https://www.aiexpress.news/wp-content/uploads/2025/05/1748005937-e247941b79065a0391afc9648900dec5.png)
早在去年2月,智诊科技就率先提出了健康医学领域的记忆技术,将人类的短、中、长记忆进行了智能化的统一融合,在圈内引起了巨大反响。
就在2月25日,智诊科技又来了惊喜的一更:这一次,记忆系统进行了全新升级,Wise MemOS 2.0登场!
从医学和脑科学的角度,人类的记忆是这样形成的:在白天,人类会暂存记忆;在夜晚,会对白天的一些认知事件进行记忆固化。当我们回忆时,大脑是基于节点的重建,进行回忆。
![图片[3]-杭州黑马登顶全球第一,引爆千亿医疗市场!14亿人把「三甲医生」塞进微信群-AI Express News](https://www.aiexpress.news/wp-content/uploads/2026/03/20260302004607672-1772383567-1bedeb9ff8baf875fd47fd11cee19ddf.png)
而这套人类记忆的原理,正是智诊科技研发这套系统的初衷。
现在的很多AI,训练完后就定型了,很难再积累新知识,甚至有严重的健忘症。
为此,行业内有两种解决方法。
其一,就是给AI建立外部数据库,让AI有库可查。目前常见的AI系统,大多属于这一类。
其背后核心技术,就是RAG检索增强生成,以及Embedding嵌入向量技术。
然而。它们的缺点很明显——太过依赖外部组件,处理流程繁琐。
![图片[4]-杭州黑马登顶全球第一,引爆千亿医疗市场!14亿人把「三甲医生」塞进微信群-AI Express News](https://www.aiexpress.news/wp-content/uploads/2026/03/20260302004609260-1772383569-ff970a8cb28090f566ed058da9ebee77.png)
而智诊科技,则创造性地研究出一种更接近人类大脑的新方法——把记忆直接放到模型中!
![图片[5]-杭州黑马登顶全球第一,引爆千亿医疗市场!14亿人把「三甲医生」塞进微信群-AI Express News](https://www.aiexpress.news/wp-content/uploads/2026/03/20260302004610809-1772383570-db15cd734433b92bd5241b98f11b09e4.png)
如果是外部存储派的方法,需要翻笔记才能想起。但智诊的Wise MemOS 2.0,则将记忆直接在脑中融会贯通,内化为了自己的专业能力。
![图片[6]-杭州黑马登顶全球第一,引爆千亿医疗市场!14亿人把「三甲医生」塞进微信群-AI Express News](https://www.aiexpress.news/wp-content/uploads/2026/03/20260302004612367-1772383572-8dff14b5257e8810668bbdd48b1f9cef.png)
只有基于这样的记忆技术,AI才能在实践中提出假设、求证,做出全新的发展和创造……
![图片[7]-杭州黑马登顶全球第一,引爆千亿医疗市场!14亿人把「三甲医生」塞进微信群-AI Express News](https://www.aiexpress.news/wp-content/uploads/2026/03/20260302004615103-1772383575-4fb4b9888054a076993deb91d51d98a6.png)
智诊让大模型真正拥有属于自己的记忆,不再只是外挂数据库。
![图片[8]-杭州黑马登顶全球第一,引爆千亿医疗市场!14亿人把「三甲医生」塞进微信群-AI Express News](https://www.aiexpress.news/wp-content/uploads/2026/03/20260302004617985-1772383577-12ee3a46cb87f4888291afd362a0d340.png)
由此,Wise MemOS 2.0 诞生,它让AI真正拥有跨任务、跨时间的持续学习能力。
可以看到,在业内评估AI记忆的权威榜单Locomo上,Wise MemOS 2.0的得分跃升到95.8%,比去年的外挂数据库记忆版本提升了将近32个百分点!这已经达到了国际领先水平。
![图片[9]-杭州黑马登顶全球第一,引爆千亿医疗市场!14亿人把「三甲医生」塞进微信群-AI Express News](https://www.aiexpress.news/wp-content/uploads/2026/03/20260302004620791-1772383580-9660e9dbbb2e18dd2faf2dbb0a278e4d.png)
2020年,一位58岁患者因单侧肢体僵硬、左旋多巴反应良好被诊断为帕金森病。
但2022年患者出现尿失禁、体位性低血压等自主神经症状,这是多系统萎缩症(MSA)的早期信号;2024年又出现构音障碍、吞咽困难,最终,他被确诊为多系统萎缩症(MSA)。
![图片[10]-杭州黑马登顶全球第一,引爆千亿医疗市场!14亿人把「三甲医生」塞进微信群-AI Express News](https://www.aiexpress.news/wp-content/uploads/2026/03/20260302004622537-1772383582-121b7c3c1e098c7e756249466a225a8e.png)
这中间的5年,错过了最佳干预窗口。问题出在哪里?
其实,5年的延误,并非医生不专业,而是传统诊断方式缺乏「时间维度」的连续推理。
在传统架构下,系统本质是基于相似度的信息检索。它看到的是孤立标签,而非疾病演进轨迹。每次查询都是重新开始,无法跨时间建立因果链。
![图片[11]-杭州黑马登顶全球第一,引爆千亿医疗市场!14亿人把「三甲医生」塞进微信群-AI Express News](https://www.aiexpress.news/wp-content/uploads/2026/03/20260302004624242-1772383584-f37986d885e2da1f4d92443c00afc9d6-scaled.png)
而Wise MemOS 2.0则引入「记忆模型」,实现了跨时间关联推理。
如果当时用的是Wise MemOS 2.0,会发生什么?让我们把时间回拨。
2022年,AI会识别「单侧起病却早期出现自主神经症状」的异常组合,自动降低帕金森概率、提升MSA-C型可能,并提示重新评估。
![图片[12]-杭州黑马登顶全球第一,引爆千亿医疗市场!14亿人把「三甲医生」塞进微信群-AI Express News](https://www.aiexpress.news/wp-content/uploads/2026/03/20260302004627524-1772383587-9f509733d292d7abfb3fc8563e41491b.png)
到了2024年,更关键的一步发生了——Wise MemOS 2.0不只是诊断「现在」,它回溯重新理解了2020年的数据。
当年「左旋多巴反应良好」这一条,被重新解释为:MSA早期可有一过性反应,不代表排除诊断。
上下滑动查看
这,就是Wise Mem OS 2.0记忆模型对临床专家「专业直觉」的复现。
一个有经验的神经科专家,价值不只是于记住多少病例,还在于大脑里的连接已经进化。见到新的早期患者时,他会对「不完全典型」的信号产生警觉。
Wise MemOS 2.0做的,是把这种「直觉」工程化。在2026年之前,大多数AI像快马,有速度却没记忆,关键时刻可能掉链子;而Wise MemOS 2.0,老马识途,在关键时刻拉你一把。
![图片[2]-杭州黑马登顶全球第一,引爆千亿医疗市场!14亿人把「三甲医生」塞进微信群-AI Express News](https://www.aiexpress.news/wp-content/uploads/2025/05/1748005937-e247941b79065a0391afc9648900dec5.png)
解决了记忆的问题,接下来就是要给AI一双眼睛。
第二天,全学科医学基座大模型WiseDiag V2全新亮相,正式升级为多模态大模型——既能看懂片子,又能读懂病理。
它支持千亿级参数,是能实现端到端多模态理解的医疗专用大模型底座。
医学训练数据从450亿Token跃升至800亿Token,覆盖更完整的疾病谱。
联合50余位三甲医院专家,对3万余例真实病历进行深度拆解——标注的不只是「是什么病」,而是「为什么是这个病」的完整循证推理路径。
![图片[15]-杭州黑马登顶全球第一,引爆千亿医疗市场!14亿人把「三甲医生」塞进微信群-AI Express News](https://www.aiexpress.news/wp-content/uploads/2026/03/20260302004631771-1772383591-0ae95f238e47e8ddb994d7a1ea7fcc1a.png)
这是智诊责任的积累:每一步升级,都经临床专家把关,避免「黑箱」风险。
如一位从学徒成长为大师的医生,AI不仅学会了记忆,还学会了「同时看见、同时思考」。
自古以来,「看病」字如其意,天生就是「多模态」的,不只是对话等交流,关键还要医生「看」!
如果说WiseDiag V1还只停留在问的阶段,那这次V2迈向了「望闻问切」的下一步。
WiseDiagV2彻底告别了「先识图转文字、再理解文字」的低效管道,而是实现底层图文同构:
视觉特征直接对齐医学知识,每一张影像、化验单、体征照片,都瞬间映射为大脑中的医学概念向量。
这意味着:告别信息孤岛,AI像资深医生一样「看病」。
在权威榜单上,它刷新多项纪录——
在权威的中文医疗大模型评测MedBench中,WiseDiag得分为69.8,独占鳌头。
![图片[16]-杭州黑马登顶全球第一,引爆千亿医疗市场!14亿人把「三甲医生」塞进微信群-AI Express News](https://www.aiexpress.news/wp-content/uploads/2026/03/20260302004633205-1772383593-6c84ff34a1f77a9046966667ac58ca7c.png)
在MedQA基准上,斩获93.6分,逼近人类执业医师。
在医疗推理生成数据集VL-health影像专项上,得分69.2,多模态能力得到验证。
![图片[17]-杭州黑马登顶全球第一,引爆千亿医疗市场!14亿人把「三甲医生」塞进微信群-AI Express News](https://www.aiexpress.news/wp-content/uploads/2026/03/20260302004633342-1772383593-f71ac1665bf90211ad226eb063d87e03.png)
而在OpenAI的HealthBench基准真实临床模拟中全球领先,67.2分。
![图片[18]-杭州黑马登顶全球第一,引爆千亿医疗市场!14亿人把「三甲医生」塞进微信群-AI Express News](https://www.aiexpress.news/wp-content/uploads/2026/03/20260302004635902-1772383595-ae91094ce80af0d23eff184e23a78fcd.png)
对比OpenAI的HealthBench(前沿模型仅约60%),智诊的多模态推理已在某些极端场景展现出领先稳定性。
这不是炫技,而是可信可靠的临床证据。
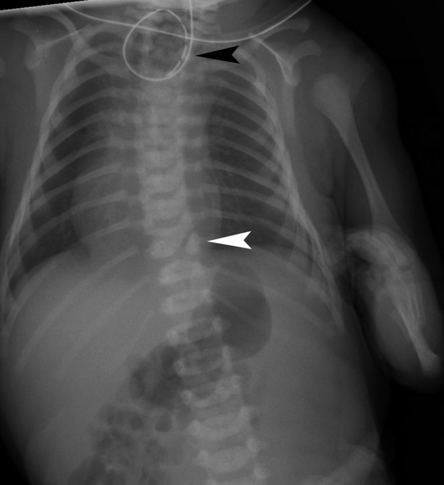
这是一个刚满月的宝宝,摆在医生面前的就这三样东西:一张胸部X光片、一张足部外观照、还有一张血常规化验单。
上下滑动查看
症状很明显但很分散,就像几个不相干的毛病,这就很考验模型捕捉碎片信息和综合分析的能力。
但WiseDiag V2并没有盲人摸象,而是整体思考:
在胸部X光片,锁定了食管闭锁和半椎体发育异常;
在足部外观照中精准识别了足部的马蹄内翻;
通过化验单的数值和胸部X光片读出了吸入性肺炎的风险。
综合所有信息给出正确的诊断结果——VACTERL联合征。
VACTERL联合征是一种罕见的非随机先天性多系统发育畸形组合,通常由至少三种特定器官缺陷组成:脊柱畸形(V)、肛门闭锁(A)、心脏缺陷(C)、气管食管瘘/食管闭锁(TE)、肾脏畸形(R)和肢体异常(L)
由此可见,WiseDiag V2是一个医疗AI强大的多模态认知底座。
![图片[2]-杭州黑马登顶全球第一,引爆千亿医疗市场!14亿人把「三甲医生」塞进微信群-AI Express News](https://www.aiexpress.news/wp-content/uploads/2025/05/1748005937-e247941b79065a0391afc9648900dec5.png)
在第三天,WiseResearch上线了。
它是一个会停下来查证、反复补全证据的医疗智能体。
可以说,这是一个AI医疗版的哆啦A梦,如果遇到复杂问题,它会去「口袋」里拿工具、查文献、核对数据。
WiseResearch的口袋里,有以下三个最核心的工具。
第一个,就是医学信息抽取智能体MedOCR,它能抽取复杂的医学信息,还能实现对结构化数据的零失误还原。
比如,看一个实际的例子:
![图片[23]-杭州黑马登顶全球第一,引爆千亿医疗市场!14亿人把「三甲医生」塞进微信群-AI Express News](https://www.aiexpress.news/wp-content/uploads/2026/03/20260302004643354-1772383603-cc6c799170b8d1bac042417711d73bf0.png)
可以看到,面对这张生化报告中代表指标异常的上下箭头,主流OCR模型几乎都识别错了,体检问卷的识别结果就更严重了,直接颠倒了「有」和「无」。
上下滑动查看
只有MedOCR,对测试样本做到了全部正确识别,完美还原了数值、单位、上下箭头在内的所有细节!
上下滑动查看
而且,WiseOCR(MedOCR)已经作为一个Skill集成在OpenClaw中,可以说是目前全球效果最好的OCR工具之一。它将医疗级别的识别能力应用到日常文本识别场景中,效果非常炸裂。
同时,它还深度结合了OpenClaw的各项功能,让整体识别体验更加强大、高效。
第二个工具,是智诊医学知识库MedDB。
不同于传统知识库「量大而杂乱」的数据堆砌,MedDB收录了超过40万条经过专家审核的条目,覆盖1.2万种疾病,给模型提供了一个绝对可信的校验基准。
由此,可以确保模型说的每一句话,都没有偏离医学共识。
![图片[30]-杭州黑马登顶全球第一,引爆千亿医疗市场!14亿人把「三甲医生」塞进微信群-AI Express News](https://www.aiexpress.news/wp-content/uploads/2026/03/20260302004656406-1772383616-9972fded3fd563fd262027760f4b871f-scaled.png)
第三个工具,是智诊的专业医学搜索引擎MedSearch。
它拥有严格的权威优先、时效优先策略,让知识库补充每天涌现的新药和新共识。
比如,在搜索多发性骨髓瘤最新指南时,几款友商搜索引擎中虽然也能搜到相关信息,但时效性滞后,来源不确定。
而MedSearch不仅检索到了NCCN 2006年最新版临床指南,还检索到了国内最新发布的权威指南。
也就是说,模型给出的建议,将和全球最顶尖的医疗指南、共识保持同步。
![图片[31]-杭州黑马登顶全球第一,引爆千亿医疗市场!14亿人把「三甲医生」塞进微信群-AI Express News](https://www.aiexpress.news/wp-content/uploads/2026/03/20260302004716484-1772383636-8400b212a27a32375f7231bfcf35baf7.png)
有了这三大法宝,WiseResearch面对患者抛出的复杂临床问题时,会进行多轮拆解与规划,然后根据路径去调用工具。
比如,上传一张含多项指标的混合化验单,要求分析图片,给出初步诊断。
可以看出,这个案例数据多、跨度大,排版复杂,关键信息全藏在细节里,难度极大。
上下滑动查看
模型收到图片后,经过快速判断,调用了专业度极高的MedOCR,发现甲状腺球蛋白抗体指标异常偏高,血清轻链比值偏低。
随后,它针对性地多次调用MedDB和MedSearch循序渐进检索、反复校验,最终给出完整的诊断报告。
最终,它明确诊断为「自身免疫性甲状腺炎」,指出轻链良性的可能性大。
![图片[34]-杭州黑马登顶全球第一,引爆千亿医疗市场!14亿人把「三甲医生」塞进微信群-AI Express News](https://www.aiexpress.news/wp-content/uploads/2026/03/20260302004723224-1772383643-bf6fa92083aec9ed2908a97c3ab1c262.gif)
AI给出的每一条建议,背后都有据可查,这就是WiseResearch区别于普通聊天机器人的核心底色。
榜单结果也充分证明,WiseResearch在临床上的应用可行且有效。
![图片[35]-杭州黑马登顶全球第一,引爆千亿医疗市场!14亿人把「三甲医生」塞进微信群-AI Express News](https://www.aiexpress.news/wp-content/uploads/2026/03/20260302004727234-1772383647-b642085c7db3cf214a338b4ef3a8fd21.png)
在临床Agent测试榜单AgentClinic-MedQA上,WiseResearch拿到64.8分,整体比人类医生高出10分
![图片[36]-杭州黑马登顶全球第一,引爆千亿医疗市场!14亿人把「三甲医生」塞进微信群-AI Express News](https://www.aiexpress.news/wp-content/uploads/2026/03/20260302004729998-1772383649-99540a926570c4c130722747c21f6d8c.png)
在医学专家问答推理的MedXpertQA榜单上,WiseResearch也超过了GPT-5-high,Deepseek等
![图片[2]-杭州黑马登顶全球第一,引爆千亿医疗市场!14亿人把「三甲医生」塞进微信群-AI Express News](https://www.aiexpress.news/wp-content/uploads/2025/05/1748005937-e247941b79065a0391afc9648900dec5.png)
过去三天,聊的都是「硬核技术」:医疗记忆系统Wise MemOS、多模态医疗大模型WiseDiag V2 、AI医疗的哆啦A梦WiseResearch。
但医疗到底是如何落地的?健康类App众多,他们如何让人人受益?
很多时候,健康管理的阻碍不是技术,而是「麻烦」:下载APP是门槛,注册是门槛,数据分散是门槛,怎么用更是门槛。
所以,这次智诊直接把顶尖的医疗AI,放进大家最熟悉常用的微信中——
好伴AI微信小程序,已经正式上线!
上下滑动查看
不需要下载,不需要注册,微信里搜一下就能用。
小程序不仅门槛低,APP上的核心功能一个不少——报告解读、拍照识热量、专家问答、健康档案,全部免费开放。
当好伴AI进入家庭微信群,子女远程也能参与父母的健康管理,专属AI家庭医生时刻待命。
上下滑动查看
现在,医生的大脑真的被塞进AI里,这不是错觉。
过去一年,好伴AI和全国2000多位真实医生一起,构建了「AI专家分身」。
上下滑动查看
他们把自己的临床经验、科普文章、授课内容都沉淀进来了,还能记住你的健康状况、时时提醒你。
不仅如此,好伴AI还「会追问」。比如说,你问「肚子疼」,好伴AI会问你:「上腹还是下腹?饭前疼还是饭后疼?」
这就是好伴AI的循证追问系统——AI不是在猜,而是在收集证据。
上下滑动查看
以前,患者和家属自己操心如何描述病情,现在好伴AI帮你兜底。
不止是问诊,多模态大模型WiseDiagV2让好伴AI「随心拍」。
比如说常见的拍食物,一般的健康管理App只是预估一下热量,但好伴AI会结合体重等数据,真正和疾病管理挂钩。
比如说,慢性肾病患者拍了「香蕉+红烧肉」的照片。
好伴AI会说:「红烧肉钠含量超标,对你的肾脏负担太重,建议过水去盐后再吃」。
它的独特之处,就是做的事非常有医生思维。
上下滑动查看
然后,它还能拍医学报告和影像。
病例、检查报告、影像等医学相关材料都可以给好伴AI看,不止是识别文字和图片,更是语义理解+风险分层。
它会结合你的熬夜习惯、既往病史等个体化差异,告诉你哪些是「真健康风险」。
此外,好伴还有一个独特能力——多年报告联合深度分析。
体检年年正常,但这不等于安全,一些指标的趋势才决定命运。如果能更早的关注到指标趋势,很多病,其实早有预兆。
普通的体检告诉你「有没有病」,好伴AI却告诉你「离病还有多远」。
比如张先生连续5年的体检中,PSA数值分别是1.2、1.8、2.5、3.1、3.8,每年结论都正常,然而好伴AI计算增长速率后,却发出预警:PSA上升趋势已经超过了年龄增长,需要尽快做前列腺穿刺。最终,张先生果然发现了早期病变。
但好伴AI,其实只是冰山露出水面的一角,智诊已打磨出一整套能力底座。
![图片[46]-杭州黑马登顶全球第一,引爆千亿医疗市场!14亿人把「三甲医生」塞进微信群-AI Express News](https://www.aiexpress.news/wp-content/uploads/2026/03/20260302004757467-1772383677-6175d98d984d3e4c015b59e3778b71ea-scaled.png)
第一层是Model as a Service——模型API,有研发能力的厂商和科研机构通过API打造自己的服务。
第二层是Agent as a Service——智能体开放。互联网医院、体检中心、健康管理公司接入以后,可直接上线一套「可运行的医疗Agent」。
第三层是Solution as a Service——场景化解决方案。比如为医院快速克隆本院专家的数字分身,接入在医院公众号上。
![图片[2]-杭州黑马登顶全球第一,引爆千亿医疗市场!14亿人把「三甲医生」塞进微信群-AI Express News](https://www.aiexpress.news/wp-content/uploads/2025/05/1748005937-e247941b79065a0391afc9648900dec5.png)
优质的医疗资源总是稀缺的,甚至出现了「医疗不可能三角定律」——
医疗体系的便宜、高效和服务好,不可兼得。
![图片[48]-杭州黑马登顶全球第一,引爆千亿医疗市场!14亿人把「三甲医生」塞进微信群-AI Express News](https://www.aiexpress.news/wp-content/uploads/2026/03/20260302004800618-1772383680-82fc88796668353daecb002bf19bd2d5.png)
而智诊科技向全民健康负责,用精准、便捷、普惠突破了这种「医疗不可能三角定律」。
现在,智诊已累计服务用户超1000万人次,入选国家重点研发计划;获多位国家级专家高度肯定;被央视与浙江卫视专题报道,成为「AI+医疗」示范样板;
已服务300+家三甲及省级重点医院,汇聚2000+位专家分身,覆盖全国多专科及基层家庭医生网络。
从公共卫生到私人医生,智诊科技覆盖政府、医院、健康机构、医疗科技企业、患者等多种用户场景。
![图片[49]-杭州黑马登顶全球第一,引爆千亿医疗市场!14亿人把「三甲医生」塞进微信群-AI Express News](https://www.aiexpress.news/wp-content/uploads/2026/03/20260302004801545-1772383681-8191dc159cb7104b20ceebace1accf49.jpeg)
如今,行业趋势已经愈发明显:通用大模型的红利正在收窄,而真正掌握医疗数据壁垒、拥有深厚临床Know-how的垂直领域企业,将在这个领域脱颖而出。
而智诊科技所代表的正是这样一种务实的方向——
其他大厂的AI医疗模型在卷流量的时候,他们更专注的是创新,致力打造更专业、更可靠、更负责、更可信的AI医疗健康助手。
站在2026年的春天回望,这不仅是AI医疗的商业化元年,更是一场关乎14亿人健康福祉的产业觉醒。
以智诊科技为代表的创新力量,正在医学疆域上雕刻出最激动人心的未来模样——诊疗更精准、资源更普惠、生命更有尊严。
这,或许正是「AI+医疗」这轮资本热浪之下,最值得我们期待的时代回响。
![图片[50]-杭州黑马登顶全球第一,引爆千亿医疗市场!14亿人把「三甲医生」塞进微信群-AI Express News](https://www.aiexpress.news/wp-content/uploads/2025/10/c79a0da0a19ad66c831baa7a391a0e27.jpeg)
![图片[51]-杭州黑马登顶全球第一,引爆千亿医疗市场!14亿人把「三甲医生」塞进微信群-AI Express News](https://www.aiexpress.news/wp-content/uploads/2026/01/20260101203539201-1767270939-a915c63cfe6f7cc68cc454f351b00750.jpeg)
<原文链接:https://mp.weixin.qq.com/s/e1hTpa4cj3fMFg_gkdKfDA




![图片[13]-杭州黑马登顶全球第一,引爆千亿医疗市场!14亿人把「三甲医生」塞进微信群-AI Express News](https://www.aiexpress.news/wp-content/uploads/2026/03/20260302004630834-1772383590-310df3d787ce4586d7b162c385297095.png)
![图片[19]-杭州黑马登顶全球第一,引爆千亿医疗市场!14亿人把「三甲医生」塞进微信群-AI Express News](https://www.aiexpress.news/wp-content/uploads/2026/03/20260302004636124-1772383596-2561f47022e18fec09a5e91800aaf27f.png)
![图片[20]-杭州黑马登顶全球第一,引爆千亿医疗市场!14亿人把「三甲医生」塞进微信群-AI Express News](https://www.aiexpress.news/wp-content/uploads/2026/03/20260302004638507-1772383598-d7224133226c5169fb19e3a0f3b0dc1b.png)
![图片[21]-杭州黑马登顶全球第一,引爆千亿医疗市场!14亿人把「三甲医生」塞进微信群-AI Express News](https://www.aiexpress.news/wp-content/uploads/2026/03/20260302004640334-1772383600-f8227969e025a037ca7ee0146fdd8c81.png)
![图片[24]-杭州黑马登顶全球第一,引爆千亿医疗市场!14亿人把「三甲医生」塞进微信群-AI Express News](https://www.aiexpress.news/wp-content/uploads/2026/03/20260302004646280-1772383606-14e6c6c9fd516d5d15e2cdaa155cbca6.png)
![图片[25]-杭州黑马登顶全球第一,引爆千亿医疗市场!14亿人把「三甲医生」塞进微信群-AI Express News](https://www.aiexpress.news/wp-content/uploads/2026/03/20260302004647411-1772383607-a34982f64c3b82e08765dd30f79110e0.png)
![图片[26]-杭州黑马登顶全球第一,引爆千亿医疗市场!14亿人把「三甲医生」塞进微信群-AI Express News](https://www.aiexpress.news/wp-content/uploads/2026/03/20260302004649243-1772383609-ff0c3de0055dea1f3f74d636373c6f6c.png)
![图片[27]-杭州黑马登顶全球第一,引爆千亿医疗市场!14亿人把「三甲医生」塞进微信群-AI Express News](https://www.aiexpress.news/wp-content/uploads/2026/03/20260302004650680-1772383610-fbc4a0969adaf980544b385afd1f5b0d.png)
![图片[28]-杭州黑马登顶全球第一,引爆千亿医疗市场!14亿人把「三甲医生」塞进微信群-AI Express News](https://www.aiexpress.news/wp-content/uploads/2026/03/20260302004652467-1772383612-6ff6985c85528656324057b2dfe6d25f.png)
![图片[29]-杭州黑马登顶全球第一,引爆千亿医疗市场!14亿人把「三甲医生」塞进微信群-AI Express News](https://www.aiexpress.news/wp-content/uploads/2026/03/20260302004653726-1772383613-01afe5c35619eec3f80b583daa475ab4.png)
![图片[32]-杭州黑马登顶全球第一,引爆千亿医疗市场!14亿人把「三甲医生」塞进微信群-AI Express News](https://www.aiexpress.news/wp-content/uploads/2026/03/20260302004719206-1772383639-8c17b4ab43850f3604ada721e0a5331d.png)
![图片[33]-杭州黑马登顶全球第一,引爆千亿医疗市场!14亿人把「三甲医生」塞进微信群-AI Express News](https://www.aiexpress.news/wp-content/uploads/2026/03/20260302004721973-1772383641-ab5d685250e1be355bc23b62d6baf877.png)
![图片[38]-杭州黑马登顶全球第一,引爆千亿医疗市场!14亿人把「三甲医生」塞进微信群-AI Express News](https://www.aiexpress.news/wp-content/uploads/2026/03/20260302004731215-1772383651-0c3a765f91648dafd38273701ceba5e8.png)
![图片[39]-杭州黑马登顶全球第一,引爆千亿医疗市场!14亿人把「三甲医生」塞进微信群-AI Express News](https://www.aiexpress.news/wp-content/uploads/2026/03/20260302004736739-1772383656-0c7af232053520e5211098916221960a.png)
![图片[40]-杭州黑马登顶全球第一,引爆千亿医疗市场!14亿人把「三甲医生」塞进微信群-AI Express News](https://www.aiexpress.news/wp-content/uploads/2026/03/20260302004738622-1772383658-df97b7528cbae9f91e3721583af76644.jpeg)
![图片[41]-杭州黑马登顶全球第一,引爆千亿医疗市场!14亿人把「三甲医生」塞进微信群-AI Express News](https://www.aiexpress.news/wp-content/uploads/2026/03/20260302004741732-1772383661-c3744b3c3dc7da8f10266e87463b19d3.gif)
![图片[42]-杭州黑马登顶全球第一,引爆千亿医疗市场!14亿人把「三甲医生」塞进微信群-AI Express News](https://www.aiexpress.news/wp-content/uploads/2026/03/20260302004744354-1772383664-2dbf100dc7422ebd9486de735e70698f-scaled.png)
![图片[43]-杭州黑马登顶全球第一,引爆千亿医疗市场!14亿人把「三甲医生」塞进微信群-AI Express News](https://www.aiexpress.news/wp-content/uploads/2026/03/20260302004746512-1772383666-21945f78f7268c5fdb03906a7cbe2366-scaled.png)
![图片[44]-杭州黑马登顶全球第一,引爆千亿医疗市场!14亿人把「三甲医生」塞进微信群-AI Express News](https://www.aiexpress.news/wp-content/uploads/2026/03/20260302004749160-1772383669-0081f569295d2d2357b72016ca859319-scaled.png)
![图片[45]-杭州黑马登顶全球第一,引爆千亿医疗市场!14亿人把「三甲医生」塞进微信群-AI Express News](https://www.aiexpress.news/wp-content/uploads/2026/03/20260302004753752-1772383673-a1de26b87eb6a864adc43c5518d46d51-scaled.png)














暂无评论内容